Linfangioma: Estudo de Caso
- pbonan
- 27 de set. de 2018
- 4 min de leitura
Atualizado: 29 de set. de 2018
G. P. M., gênero masculino, 18 anos de idade, veio à procura de tratamento de uma tumefação assintomática no ventre lateral da língua. No exame físico extraoral observou-se um considerado aumento de ângulo de abertura bucal devido à macroglossia. No exame físico intraoral, o ventre lateral da língua apresentava superfície pedregosa, que se assemelha a um grupo de vesículas vermelho-arroxeadas. Na anamnese o paciente não relatou nenhum sintoma de dor, ardência, prurido ou termossensibilidade. A partir dos achados clínicos observados no exame físico e pelo estudo histopatológico, diagnosticou-se como linfohemangioma/linfangioma cavernoso oral. (Norte de Minas Gerais – BR).
G. P. M., male, 18 years old, looking for treatment of an asymptomatic tumefaction in the lateral surface of the tongue. A meaningful growth of the mouth opening angle was observed in the extraoral physical exam, due to the macroglossia. In the intraoral exam, the lateral surface of the tongue showed a rocky surface which is similar to a group of red-purpled vesicles. In the anamnesis, the pacient did not report any symptoms of pain, blazing, itchness or termosensivity. From the clinical findings of the physical exam and the histopathological study, the diagnosis was lynphohemangioma. (North of Minas Gerais – BR).
Qual diagnóstico diferencial desta lesão? Qual a conduta de tratamento que você indicaria?
Estudo de caso:
Os linfangiomas são tumores hamartomatosos benignos dos vasos linfáticos, ocasionados por uma má formação do desenvolvimento originada a partir do sequestro do tecido linfático que não se comunica normalmente com o restante do sistema linfático. Muitos linfangiomas estão presentes no nascimento e aproximadamente 80% a 90 desenvolvem-se por volta dos dois anos de idade, sendo a ocorrência em adultos pouco frequente.
Podem ser classificados em 3 tipos:
· Linfangioma simples ou capilar: vasos pequenos referente aos capilares;
· Linfangioma cavernoso: vasos linfáticos grandes e dilatados;
· Linfangioma cístico (higroma cístico): possui grandes espaços císticos macroscópicos.
Porém, podem ser encontrados os três tamanhos numa mesma lesão.
Características Clínicas:
Apresenta-se como tumefações indolores e nodulares que expressam múltiplas vesículas vermelho-arroxeadas localizadas no ventre lateral da língua e está associada à ocorrência de hemorragia secundária para o interior dos vasos linfáticos, por isso denominado linfohemangioma, tendo uma concomitância com o hemangioma (malformação de vasos sanguíneos – proliferação benigna).
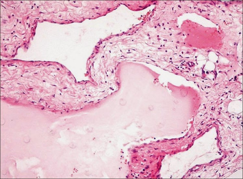
Características Histopatológicas:
No linfangioma cavernoso há dilatação dos vasos linfáticos localizados logo abaixo da superfície epitelial, podendo apresentar agregados linfoides a sua parede por causa da infiltração dos vasos no tecido mole adjacente. O endotélio que envolve o vaso é fino e os espaços contêm fluido proteináceo e linfócitos ocasionais, além de hemácias.
Disponível em: http://imgkid.com/lymphangioma-histology.shtml
Métodos de Diagnóstico:
Além do estudo histopatológico, é interessante a utilização dos métodos de diagnóstico por imagens, como a ecografia de Doppler, que é bastante válida para diferenciar uma massa sólida de uma massa cística, além de diferenciar os componentes presentes no interior da lesão e suas origens linfática e/ou vascular (BATAILLE, 2006); a tomografia computadorizada e ressonância magnética podem ser utilizadas para determinar a extensão da lesão antes da cirurgia.
Diagnóstico diferencial:
O diagnóstico clínico deve incluir o carcinoma de células basais e tumor de glândulas salivares com degeneração cística, as quais podem ser diferenciadas através das características celulares neoplásicas encontradas na biópsia aspirativa (MANDEL, 2004).
Existem algumas condições patológicas que provocam macroglossia, como amiloidose, malformações vasculares e o angiodema, que devem ser considerados. Porém, o hemangioma é bastante discutido como diagnóstico diferencial, devido a sua semelhança clínica com o linfangioma.
Tratamento e Prognóstico:
Comumente, o tratamento de linfangioma é realizado através de excisão cirúrgica. Porém, em casos de grande acometimento de estruturas vitais, a remoção cirúrgica não é viável. Em virtude de sua natureza infiltrativa, é comum ocorrer recidivas, sobretudo nos linfangiomas cavernosos de cavidade oral.
Tem-se realizado a terapia esclerosante: usa-se o OK-432, que é um agente esclerosante constituído por cepas de Streptococcus pyogenes de baixa virulência que não produzem estreptolisina-S incubada com penicilina G potássica, agindo como indutor de migração das células inflamatórias para o interior da lesão, tendo por consequência a danificação do endotélio e sua permeabilidade aumentada, o que diminui as dimensões da lesão. O uso desse agente esclerosante tem mostrado maior eficácia comparado a outros como propanolol e oleato de monoetanolamina.
Outros tipos de tratamento que podem ser abordados são: terapia por radiação, crioterapia, administração de esteroides, interferon e bleomicina, embolização, ligação, e cirurgia a laser (BALARKRISHNAN, 1993).
O prognóstico é favorável para a maioria dos pacientes portadores de linfangiomas, embora as grandes lesões (linfangioma cístico) possam ocasionar obstruções das vias aéreas. Usualmente, os linfangiomas pequenos não causam incapacidade física, estética e funcional, mas devem ser tratados para não correr o risco de evoluir. É fundamental que haja o diagnóstico precoce para diminuir as complicações decorrentes destas lesões (GASSEN, 2010).
Referências:
Balakrishnan A, Bailey CM. Lymphangioma of the tongue: A review of pathogenesis, treatment and the use of surface laser photocoagulation. J Laryngol Otol. 1991; 105(11): 924-9.
Bataille AC, Boonb LM. Aspects cliniques des malformations capillaires. Clinical aspects of capillary malformations. Ann Chir Plast Esthet. 2006; 51(4-5):347-56.
GASSEN, H. T.; SÁ CAYE, L. F.; ROVANI, G.; et al. Lymphangioma of the oral cavity: Case Report. Stomatos. Canoas, v. 16, n. 30, p. 82-88, Janeiro, 2010.
Mandel L. Parotid Area Lymphangioma in adult: case report. J Oral Maxillofac Surg. 2004; 62(10): 1320-3.
NEVILLE, B.W.; DAMM, D.D.; ALLEN, C.M.; BOUQUOT, J.E. Patologia Oral e Maxilofacial. Trad.3a Ed., Rio de Janeiro: Elsevier, 2009, 972p.















Comentários