Angina Bolhosa Hemorrágica
- pbonan
- 7 de nov. de 2018
- 3 min de leitura
CASO CLÍNICO:
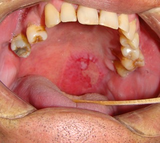
J. C. V., gênero masculino, 50 anos de idade, queixava-se da presença de “bolhas de sangue na bochecha”. Por meio da anamnese, foi relatado pelo paciente que as lesões teriam surgido poucas horas depois da ingestão de determinada bebida quente, episódio semelhante ao que lhe havia ocorrido cerca de um ano antes. O paciente disse não apresentar histórico de doença vascular, hemorrágica ou autoimune. Também não faz uso de nenhuma medicação. Como exames complementares foram feitos testes hematológicos, biópsia e exame de imunofluorescência direta. Confirmou-se que se tratava de angina bolhosa hemorrágica por exclusão das possíveis lesões vesiculobolhosas.
CLINICAL CASE:
J. C. V., male, 50 years old, complained about the presence of "bloody bubbles in the cheek". From anamnesis it was reported by the pacient that the injuries had appeared a few hours after the ingestion on a certain hot drink, similar episode to what had happened to him about one year ago. The patient said not to present history of vascular, hemorrhagic, or autoimmune diseases. He also does not use any medication. As complementary exams, hematological tests were made, biopsy and direct imunofluorescence exam. It was confirmed that he suffered of hemorrhagic bullous angina, due to exclusion of the possible vesiculobullous lesions.
INTRODUÇÃO:
A angina bolhosa hemorrágica (ABH) é definida como uma bolha subepitelial com conteúdo sanguíneo, de etiologia desconhecida, cuja patogênese não está relacionada com causas sistêmicas nem qualquer tipo de doença vesiculobolhosa, mas trauma local parece ser o maior fator predisponente, assim como o longo tempo de uso de esteroides inalatórios e diabetes mellitus. É encontrada comumente no palato mole, mas também pode ser encontrada no ventre e bordo da língua, mucosa bucal e lábio, e pode se manifestar por episódios recorrentes.
CARACTERÍSTICAS CLÍNICAS:
Esse tipo de lesão tem prevalência similar nos gêneros masculino e feminino; o diâmetro médio das lesões são entre 2 e 3 cm, são indolores e assintomáticas. As bolhas são normalmente desenvolvidas durante as refeições e curam espontaneamente sem a formação de cicatriz em sete a dez dias. A frequência e duração dos episódios variam entre os pacientes.
Dependendo do volume apresentado, a lesão pode ocasionar no paciente a sensação de estar sufocado pela obstrução das vias aéreas.
MÉTODOS DE DIAGNÓSTICO:
Podem ser solicitados exames hematológicos, que apresentam valores normais, excluindo relação de doença sistêmica e ABH; biópsia incisional e exames de imunofluorescência direta.
DIAGNÓSTICO DIFERENCIAL:
O penfigoide, a dermatite herpertiforme, a epidermólise bolhosa, a epidermólise bolhosa não distrófica adquirida,a amilooidose e pênfigo.
O pênfigo e penfigoide devem ser excluídos pela diferença histopatológica e por apresentarem causas associadas a anormalidades imunológicas, ausentes na ABH.
O penfigoide pode ser considerada a doenças das mucosas com vesiculação subeitelial mais comum, e pode ser diferenciada clinicamente da ABH porque pode haver cicatrizes e descamação da membrana mucosa do penfigoide.
A epidermólise bolhosa é semelhante clinicamente, porém é acompanhada de lesões cutâneas.
TRATAMENTO E PROGNÓSTICO:
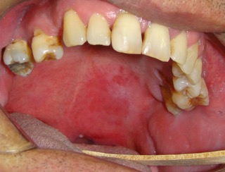
Muitos casos de ABH não requerem tratamento, pois as bolhas desaparecem rapidamente. Porém, as possíveis causas devem ser removidas. Além disso, algumas lesões podem causar obstrução aguda das vias aéreas que produzem no paciente a sensação de sufocamento, o que é aconselhado a incisão dessas lesões.
O prognóstico da ABH é bom e somente é necessário tratamento paliativo. É prescrita geralmente a clorexidina 0,12- 0,2% para bochecho, com a finalidade de prevenir infecções secundárias, além de analgésicos.
REFERÊNCIAS:
SANTOS, R. B.; FIGUEIREDO M. A. Z.; OLIVEIRA, P. T.; et al. Angina bolhosa hemorrágica: um caso incomum. Revista da Faculdade de Odontologia, Passo Fundo, v. 6, n. 1, p. 7-10, janeiro, 2001.
RODRIGUES S.; ALBRECHETE, M.; MONSANTO, R. et al. Hemorrhagic Bullous Angina: A Case Report and Review of the Literature. Turkish Archives of Otorhinolaryngology, Sorocaba, v. 54, n. 3, p. 134-137, setembro, 2016.
VOLKWEIS, M. R.; GALEAZZI, S. Angina bolhosa hemorrágica – uma revisão de 14 casos. Revista da Faculdade de Odontologia, Passo Fundo, v. 15, n. 13, p. 298-301, setembro, 2010.






Comentários